87岁老人心梗命悬一线,泰心团队勇闯手术禁区,搭桥+换瓣成功脱险
 
发布人:admin | 2026年04月14日 | 来源:泰达国际心血管病医院
 

一条随时可能断流的冠脉主路,

一扇关不上的心脏阀门,

87岁的张先生被急性心梗击中,

生命瞬间亮起红灯。

高龄、结构异常、术后高风险,

一道道坎摆在眼前。

  泰心医院多学科团队迎难而上,精准破局,用高难度搭桥+换瓣手术,为他打通生命通道。而张先生也成为泰心医院自建院以来,接受搭桥+换瓣手术的最高龄患者

  险!耄耋老人突发心梗

  不久前,87岁的张先生突发剧烈胸痛,持续不缓解,被120急救车紧急送至泰达国际心血管病医院(简称泰心医院),住进CCU病房。

图片来源于www.veer.com已获授权

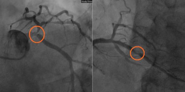
  他的冠脉造影结果,让所有人捏了一把汗:左主干狭窄90%、左前降支狭窄99%、右冠脉狭窄95%,给供血心脏的道路几乎全线堵死!这种多支严重病变,随时可能让心脏的泵血功能衰竭,导致全身血液供应瘫痪,患者生命将危在旦夕。

▲造影影像

  与此同时,心脏彩超检查发现,张先生的主动脉瓣严重退化,重度关闭不全。主动脉瓣就像心脏里控制血液流动的单向阀门,这扇门关不上了,血液就会反流,将进一步加重心脏负担。

  内科团队本来计划在ECMO辅助下为张先生实施介入治疗,但主动脉瓣严重反流是ECMO治疗的明确禁忌症,介入治疗路径被迫搁置。

  难!直面手术风险

  一边是随时夺命的心脏重症,一边是行不通的介入治疗,唯一的希望就是外科手术。但87岁高龄,急性心梗期间,同时进行搭桥+换瓣这样的复杂手术,风险有多高?“国外数据显示,80岁以上患者接受这类手术,死亡率高达20%-30%。这几乎是在走钢丝。”泰心医院大外科系主任苗齐回忆。

  更棘手的是,张先生年轻时曾患结核性胸膜炎,导致心脏和纵膈结构严重右移,右侧肺叶极小。这意味着,即便手术成功,术后呼吸恢复和围术期管理也将是巨大挑战。

  生死关头,泰心医院迅速启动多学科会诊机制,心外、心内、麻醉、重症、体外循环等科室专家反复评估病情、推演手术方案、制定应急预案,最终决定为张先生实施急诊手术,为老人争取生机。

  赞!精准施术一气呵成

▲手术

  无影灯下,苗齐主任率队精准操作,首先利用患者自身血管搭建4支血管桥,精准绕过堵塞的冠脉,为缺血的心肌重建了供血通道;随后顺利置换人工主动脉瓣,让心脏的阀门重新正常开合。整个手术一气呵成,患者化险为夷。

▲术后查房

  术后,医护团队针对张先生右肺极小、呼吸恢复难度大的问题,制定了个性化的康复治疗方案,助力其成功拔除气管插管,恢复自主呼吸。在医护团队的精心照料下,张先生各项生命体征平稳,远超高龄心脏手术患者的常规恢复速度,不久便康复出院。

  “高龄本身不是外科手术的绝对禁区,关键在于多学科团队的协作能力和围术期管理水平。”苗齐主任表示,“这个病例的成功,不仅体现了泰心医院在高危、复杂心脏外科领域的综合实力,同时也证明,只要评估精准、准备充分,即使是80岁以上、合并多种危重情况的患者,依然有机会获得成功的救治。”

以硬核实力突破禁区,

用温情守护筑牢防线。

宣传部 诚意制作

联系我们 Contact Information
门诊预约电话:022-65208888
网络服务热线:4001-568-568
地址:天津市滨海新区第三大街61号